Questão
2022
AVANÇASP
Prefeitura Municipal de Amparo (SP)
Especialidades Médicas - Neurologista Infantil (Pref Amparo/SP)
VER HISTÓRICO DE RESPOSTAS
4001283469
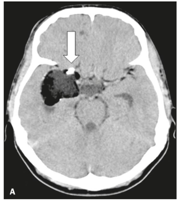
Observe a tomografia, abaixo:
Fonte:
https://www.scielo.br/scielo.php?pid=S0100-39842020000400273&script=sci_arttext&tlng=pt
O processo expansivo, demonstrado à imagem, é característico de:
A
cisto dermoide.
B
cisto odontogênico.
C
adenocarcinoma invasivo.
D
meningoangiomatose hamartomatosa hemorrágica.
E
meningoangiomatose hamartomatosa isquêmica.
Responder
Ver solução e comentários